Services
Welcome to Our Comprehensive Dental Services
01
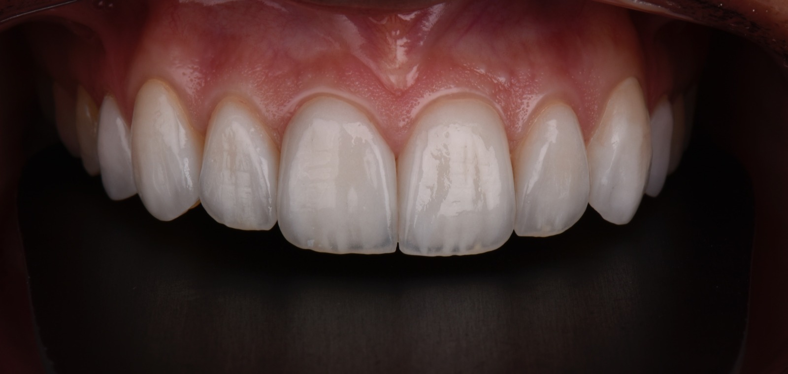
Prosthodontics & Cosmetic Dentistry
Restore and enhance your smile with crowns, bridges, and veneers crafted using advanced CEREC CAD/CAM technology for same-day, natural-looking results. At Medici Qatar, prosthodontics is not just about replacing teeth — it’s about blending art with science to achieve smiles that are both functional and esthetically beautiful. Whether you need to repair damaged teeth or want to enhance your appearance with veneers, our team ensures restorations that fit seamlessly, feel comfortable, and last for years.
02
Implantology
Enjoy lasting confidence with dental implants designed for strength, stability, and natural esthetics. At Medici Qatar, we specialize in advanced implant procedures that allow for same-day extractions, implant placement, and immediate restorations. This means you can walk in with missing or failing teeth and leave the same day with a confident, functional smile. Using guided implant surgery and digital imaging, we maximize precision, safety, and comfort — ensuring long-term success and natural-looking results.
03
Orthodontics
From traditional braces to discreet clear aligners, we provide customized orthodontic treatments for children, teens, and adults. Our goal goes beyond simply straightening teeth — we focus on achieving proper bite alignment, functional balance, and long-term oral health. With digital planning tools, every step of your orthodontic journey is tailored for precision, efficiency, and comfort. Whether you’re looking for a subtle solution like Invisalign-style aligners or more comprehensive treatment, we’ll guide you toward a smile that is both healthy and confident.
04
Pediatric Dentistry
Gentle, child-friendly dental care designed to make little ones feel safe and comfortable. At Medici Qatar, we focus on prevention, early treatment, and positive experiences that encourage kids to grow up with strong, healthy smiles. From fluoride treatments and cavity care to early orthodontic guidance, our pediatric specialists use patience, expertise, and compassion to ensure children look forward to their dental visits.
05
Periodontology (Gum Health)
Healthy gums are the foundation of a healthy smile. Our periodontal care ranges from routine maintenance to advanced regenerative treatments. Using innovative techniques such as laser-assisted therapies, we reduce discomfort, accelerate healing, and preserve gum and bone health. At Medici Qatar, we don’t just treat gum disease — we work to prevent it, ensuring long-term protection for both your smile and your overall health.
06
Endodontics (Root Canal Therapy)
Root canal treatment no longer needs to be feared. At Medici Qatar, we use modern imaging, rotary instruments, and precision techniques to make root canal therapy efficient, accurate, and comfortable. By treating the inside of the tooth and eliminating infection, we help you relieve pain, preserve your natural teeth, and restore function. Our expert endodontists ensure that every procedure is carried out with a focus on comfort, reliability, and long-term success.
